
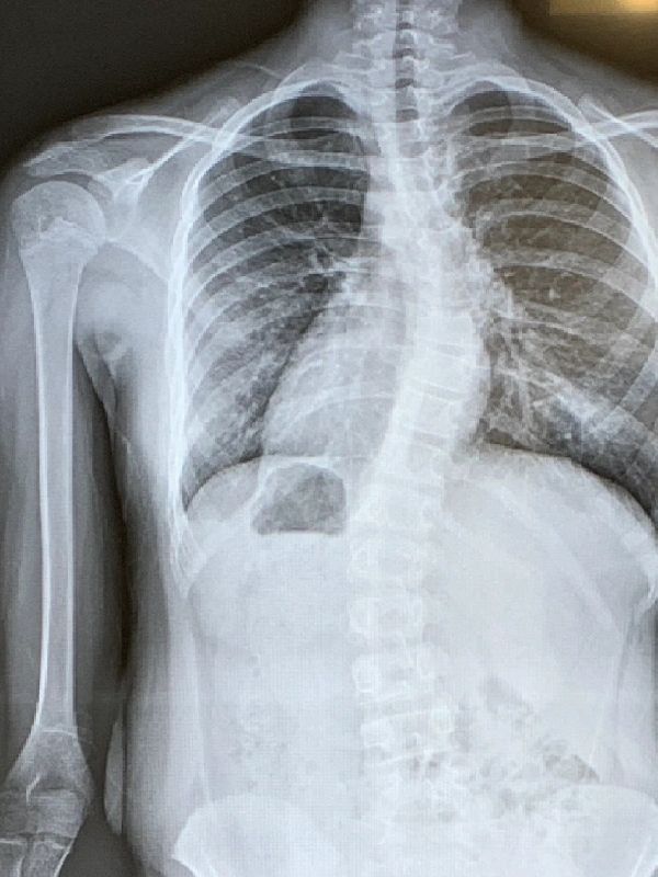
Hi and welcome to my website, My name is Livi and I am an ordinary kid, but one thing that makes me different is that I have scoliosis. Scoliosis is a curvature of the spine, which can be caused for many reasons. Scoliosis is usually found in children, but it can also be found in adults.

There are two types of treatment for scoliosis: getting a surgery, or wearing a back brace for a certain amount of time each day. There are multiple types of back braces and surgeries that you can get. I chose to wear a brace to treat my condition. I needed (I am almost done with wearing it since I am done growing) to wear it 16-18 hours a day, and to be honest, it is not the most comfortable thing in the world. It took me a while to get used to wearing. However, I put up with the brace, because I knew that it would help me in the end.
My Mission:
Many people have severe cases of scoliosis, but don't have the money to visit doctors or get the treatment they need. This is a big problem, because leaving scoliosis untreated could be very dangerous to your health. I have therefore created a non-profit organization called "Save A Spine". My hope is to raise as much money as I can to provide financial assistance to those in need of a brace.
*An x-ray of my back is above.
Save a Spine - Copyright © Livi Lasner 2024 - All Rights Reserved.
This site uses cookies to analyze website traffic and optimize your website experience. By accepting our use of cookies, your data will be aggregated with all other user data.